Professor Paul Tipton

Dentist – International Lecturer – Mentor

LONDON • MANCHESTER • DUBAI

 

Missing Anterior Teeth (Implants)

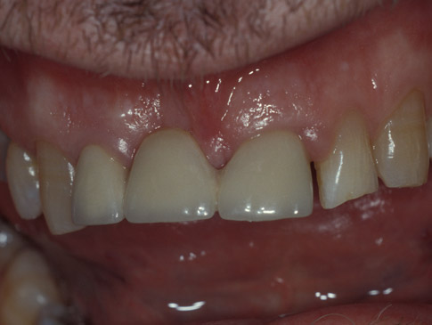
This gentleman was referred in for replacement of his missing upper right posterior tooth. A single implant was placed followed by a titanium abutment and PFM crowns on the implant and wider adjacent to the implant.

  • d_mt_14
  • d_mt_02
  • d_mt_03
  • d_mt_04
  • d_mt_05
  • d_mt_06
  • d_mt_07
  • d_mt_08
  • d_mt_09
  • d_mt_10
  • d_mt_11
  • d_mt_13
  • d_mt_14
  • d_mt_12


What is a Prosthodontist?
A Prosthodontist is a dental specialist, as recognised by the General Dental Council (GDC), who specialises in veneers, crowns, dental implants, bridgework and much more. read more
Treatments
Professor Tipton shares a few of his cases to show the fantastic results he has achieved in giving his patients the smiles they deserve. read more
Locations
Professor Tipton's clinic locations. read more
Articles
A highly respected specialist in Prosthodontics, Paul has published many scientific articles in the dental press. read more

Contact Us
If you would like to speak to one of Professor Tipton’s dedicated team now please call 07876 346763 Alternatively complete the form below. Fields marked with * are mandatory. read more
FAQs
Professor Paul Tipton has compiled all the popular questions his patients have asked him over the years to make sure you have the answers you need before you book your appointment. read more
Testimonials
"...I have had lots of treatment and have ended up with a wonderful white smile and now my husband, myself and two daughters visit the practice on a regular basis..." Susan L read more
Common Problems
Professor Tipton has compiled some cases of the most common problems he has seen from gaps and spaces to periodontal disease. read more

Team
read more