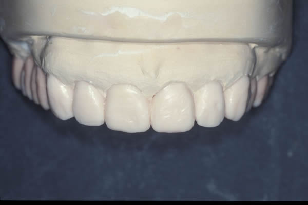
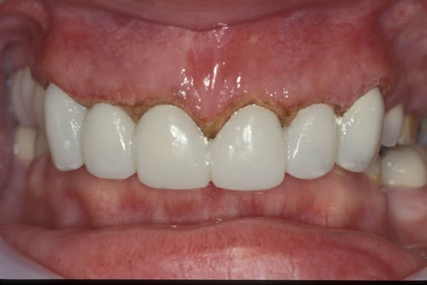
This lady was referred to us because of her gummy smile and poor looking anterior restorations. Crown lengthening procedures were undertaken followed by occlusal adjustment and full mouth reconstruction using a combination of anterior zirconium based restorations posterior PFM’s.










